无极云影像logo图

无极云影像

  • APP类型:免费
  • 系统:Android
  • 类型:安卓软件
  • 语言:中文
  • 版本号:1.0.5
  • 大小:10M
无极云影像二维码下载图 安卓版下载二维码
  • APP介绍
  • 下载地址
  • 大家都在用
  • 评论(comment)
游戏介绍

无极云影像是一款全新的免费医用影像软件,拥有实时影像功能,可以让用户实时查询各种影像信息,及时与医生沟通,轻松了解自己的身体状况,还提供多种影像管理,自由掌握全面的健康状态和身体数据信息,能完全满足所有使用需求,还支持在线远程会诊模式,允许医生进行远程医疗诊断,给用户带来全面的服务和体验,还能自由选择时间并准确找到需要的图像信息,有需求的用户欢迎来本站下载软件吧。

无极云影像软件优势

1、方便:用户可以通过软件随时随地在线咨询医生,解决传统看病排队、挂号等问题。

2、专业性:医生根据用户提供的信息提供专业的建议和诊断,确保医疗服务的专业性。

3、效率:医生可以通过软件快速访问各种医疗信息和资源,提高工作效率和治疗效果。

4、安全性:软件采用先进的加密技术,确保医学影像数据的安全传输和存储。

无极云影像软件特色

1、用户体验优化:软件界面简洁清晰,操作简单上手,节省用户操作的时间和精力。

2、功能完善:定期更新健康咨询和科普知识,帮助用户了解疾病预防和健康生活方式。

3、性能提升:软件不断优化性能,提高运行速度和稳定性,保证流畅的用户体验。

4、增强的兼容性:软件支持多种设备和操作系统,满足不同用户的需求。

无极云影像软件功能

1、图像云盘:医生可以随时随地查询本医院和其他医院的图像数据,提高诊断的准确性。

2、集中诊断:用于基层检查和上级诊断,共享优质医疗资源,提高诊疗质量。

3、医生聊天:医生之间的即时通讯工具,支持文本、语音、图片和视频的发送,方便协作和沟通。

4、个性化服务:根据患者的需求和情况,为患者量身定制个性化的医疗服务方案。

无极云影像app怎么用?

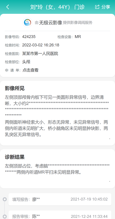
1、进入无极云影像,选医院,用搜索找患者影像,查CT、MRI等检查结果及报告。

2、打开患者影像详情,浏览影像图片,切换序列,结合诊断结果,辅助病情判断。

3、在医院患者列表,筛选检查时间部门等,快速定位患者,查看影像及报告状态。

4、点报告图像,报告书写,调阅影像书写报告,用功能应用管理个人影像档案。

更新日志

v1.0.5版本

调整SDK初始化,修复部分机型报告调阅异常

无极云影像免责声明:

1、本手机APP及手机APP版权属各自产权人所有,

2、只用于个人封装技术研究交流使用,不得用于商业用途,

3、且本网站不承担任何技术及版权问题,请在试用后24小时内删除。

4、如果您对本手机APP有任何意见和建议,欢迎到反馈,请购买正版手机APP!

下载地址
文件较大,请耐心等待下载

无极云影像0条评论

    猜你喜欢 更多
    安卓软件推荐手机APP
    安卓软件下载最多