概述 慢性肾衰竭(CRF)为稳定的或者慢性进行性的氮质血症,犬、猫的平均发病年龄是7岁。然而,因为先天性和肾病的发展,犬和猫在年轻时会出现发病高峰,当它们步入老年时更容易患CRF。长期的氮质血症和肾脏功能的改变会出现熟知的尿毒症综合征的临床特征。
病因学 犬、猫CRF病因常不清楚,且原发病因不存在,但肾脏疾病仍在发展。犬、猫CRF病因分别见表5.5和表5.6。
表5.5 犬CRF的病因

注:*见“肾小球性肾病”部分。
表5.6 猫CRF病因

注:*见“肾小球性肾病”部分。
病理生理学 尿毒症综合征包括一系列症状,如轻度多尿和烦渴、口腔和胃肠道黏膜糜烂、贫血、继发性甲状旁腺功能亢进、神经症状、高血压和低钾血症(尤其是猫)。
患有严重的CRF的动物不能产生超过或者低于300mOsm/kgH2O(SG=1.010)的尿液。在保留有功能的肾单位中肾小管的滤过率升高,由心房利钠因子介导的通过髓质血管的血流量增加,削弱了髓质高渗发展。且收集管通透性对抗利尿激素的应答也被削弱。
CRF发展会引起口腔溃疡和胃及小肠表面糜烂(图5.8)。呕吐、食欲减退和黑粪也很常见。对于犬,引起口腔损伤的原因还不清楚,但是CRF促胃酸激素升高,引起胃酸分泌过多从而产生胃炎。
在CRF,由于肾脏继发性甲状旁腺功能亢进,损害肾脏产生降血钙素,削弱了胃肠道钙吸收,促进了慢性代谢性酸中毒,而导致纤维性骨营养不良(图5.9)。随着GFR减弱,会出现磷潴留。在早期的CRF,甲状旁腺激素(PTH)作用抑制肾小管对磷酸盐的重吸收,通过排泄磷酸盐尿来维持血浆磷的正常水平。随GFR的下降进一步发展为晚期的CRF,PTH最大程度地抑制磷酸盐重吸收水平仍然不能维持正常的血磷水平时,血清中磷酸盐水平升高。肾实质损耗和高磷血症削弱肾α-羟化酶-介导的1,25-二羟胆骨化醇的产生。1,25-二羟胆骨化醇产生减少又非抑制了PTH产生,进一步使骨骼重吸收和高磷血症恶化。患有CRF的犬、猫饲喂正常日粮会产生慢性代谢性酸中毒的倾向,因为肾组织损耗限制了肾脏排泄铵盐的能力,铵盐是主要H+分泌缓冲物。过多的H+被缓冲在骨骼中,这种缓冲作用使得钙盐更易于重吸收。血浆钙水平较低、血浆PTH水平较高和慢性代谢性酸中毒综合作用会削弱肠道对食物钙的吸收和骨骼的严重脱矿物质作用。
患有CRF的犬和猫,多种因素引起正常红细胞的正色素性贫血,主要原因是肾脏产生促红细胞生成素减少(图5.10)。而红细胞生命周期缩短、胃肠道血液降低、外周组织携氧能力增强,因为红细胞的2,3-二磷酸甘油酸的异构酶水平升高了。
与甲状旁腺功能亢进相关的脑钙水平升高,在尿毒症性脑病中具有重要的作用,并且神经中钙水平的升高可以引起犬的外周性神经疾病。超过一半的患犬、猫会出现轻度高血压,部分严重的患病动物会发生严重的高血压,随后引起视网膜脱落和失明。对于患有CRF的犬、猫轻度高血压在疾病的发展和进展中的作用还不清楚。
猫的CRF常伴有低血钾,导致严重衰弱和多肌炎,血清肌氨酸磷酸激酶水平明显升高(图5.11)。引起酸性尿的食物可降低胃肠道磷的吸收,低血钾的主要原因似乎是肾钾丢失。低血钾通过升高肾小管细胞氨的产生作为CRF猫病情进展的相关联的原因,所以纠正低血钾可以保护肾脏功能。

图5.8 慢性肾衰竭患犬的口腔黏膜溃疡。

图5.9 慢性肾衰竭病例中肾脏继发甲状旁腺功能亢进的发病机制,肾脏产生的钙三醇能正常抑制PTH产生和副甲状腺释放。虚线表示抑制作用。
CRF的不断发展会使患病动物肾脏功能进行性下降,不论是原发病因还是不明原因。造成CRF自发进行性因素见表5.7。肾小球性高血压在犬CRF病例中有记载,但对该病的进展还不清楚。另外,适度限制日粮中蛋白质似乎未降低犬、猫肾病发展,同其他动物一样。有报道证明限制食入磷能抑制犬肾脏功能进一步降低并阻止猫肾脏矿化。系统性高血压作用和肾脏氨的产生对CRF影响尚未研究。
临床症状 患有CRF的动物都有食欲降低、体重减轻、被毛粗糙的表现(图5.12)。许多患病动物烦渴和尿液增加,并在晚上强迫排尿。晚期病例,常见呕吐,并有黑粪。活动的耐受性降低,神经症状包括精神沉郁、虚弱、抽搐、震颤、摇头和癫痫发作等。

图5.10 慢性肾衰竭氮血症发病机制:产生氮血症的主要原因是肾脏产生的促红细胞生成素减少。

图5.11 猫患严重低钾血症时头颈向腹部弯曲。

图5.12 患有慢性肾衰竭的拳师犬,被毛枯燥、消瘦、鼻孔流出继发呕吐物。

图5.13 患有长期慢性肾衰竭和肾脏骨营养不良的迷你雪纳瑞犬在死后尸体剖检时发现下颌骨极具弹性。

图5.14 放射学检查图5.12犬的骨骼显示骨密度很低。
进行身体检查时,多数患病动物出现体温过低并有“尿毒症气味”口臭。出现氮质血症,触诊口腔黏膜,一般会发现有潜在的溃疡。病程长久其下颌极具弹性(橡皮颌),这种情况并不常见(图5.13)。对于年轻的犬,其下颌和上颌骨可能会出现肿胀及牙齿松动(图5.14)。触诊肾脏异常,小、硬、多块状、大等。高血压多见。
表5.7 导致动物CRF进展的因素

鉴别诊断 应与肾前性、肾原发性和肾后性氮质血症,急性肾衰竭相鉴别。
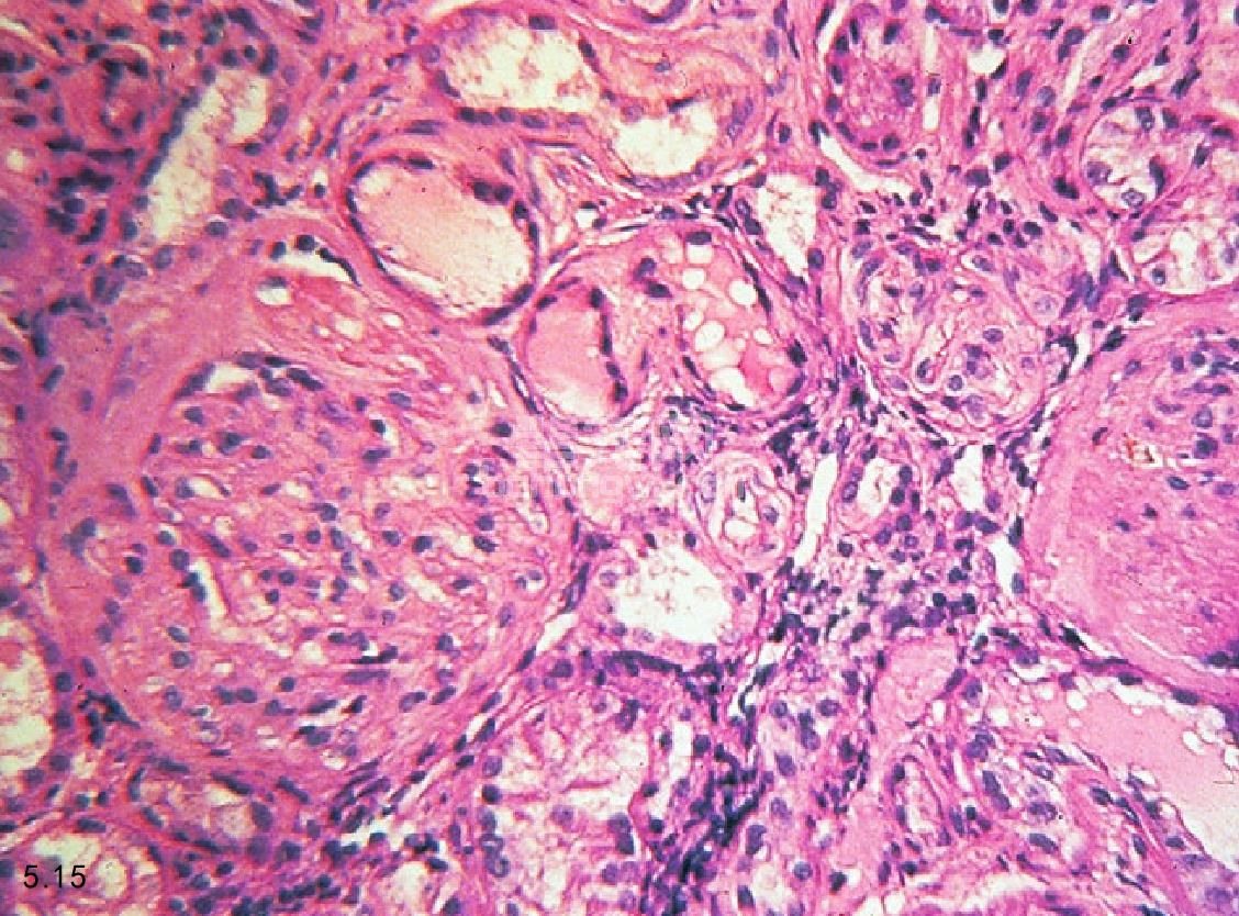
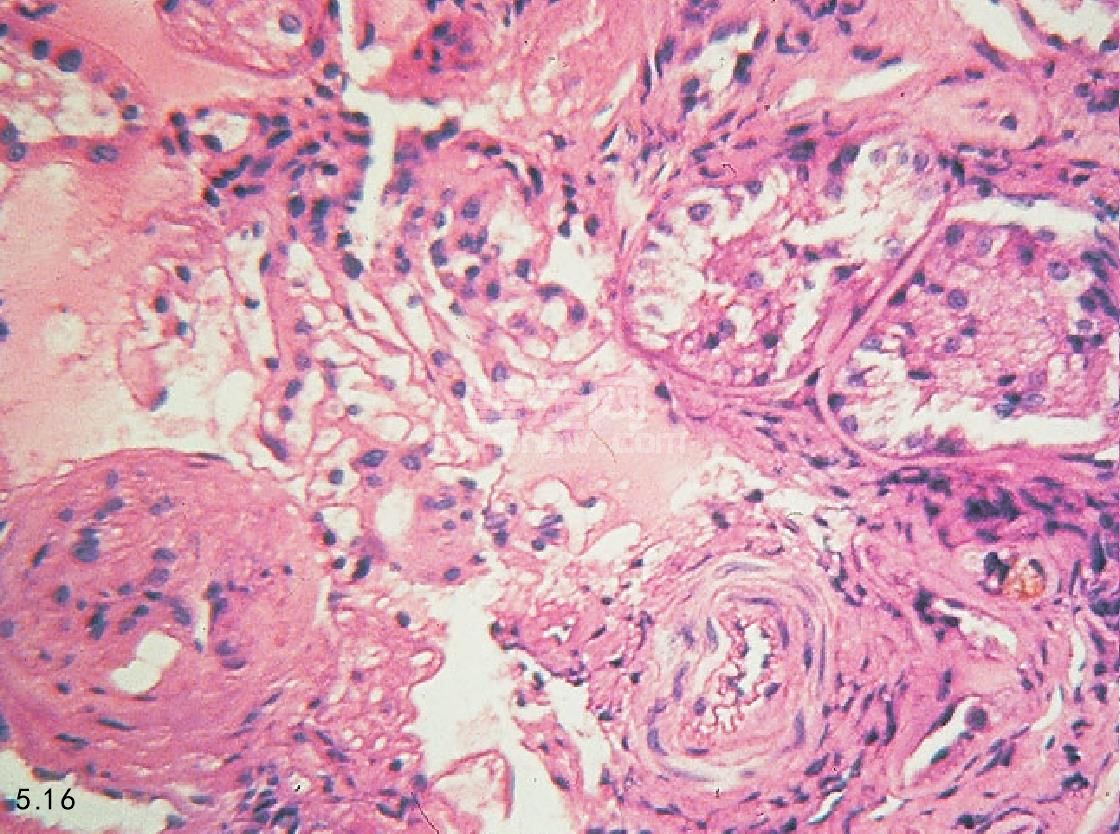
诊断 根据临床调查、身体检查(见以上部分)和实验室检查结果来确定是否患有CRF。典型的检查结果包括红细胞正常的色素性贫血、淋巴细胞减少、氮质血症、高磷酸盐血症和负离子升高引起的代谢性酸中毒。脂肪酶和淀粉酶比正常升高2.5~3倍,但不会出现胰腺炎。尿液检查显示为等渗尿、轻度蛋白尿(除非疾病过程特殊,涉及到了肾小球)和良性尿沉积物。在这些情况下,可以观察到管型,它们直径比较宽。在进行X线和超声诊断时,肾脏的大小、形状和密度会有异常。肾脏组织活检显示,在肾血管球硬化症和单核性间隙性渗透的纤维化时,肾小球和肾小管有不同程度的萎缩(图5.15和图5.16)。在表述氮质血症的症状和程度时会有很大差别。
治疗 CRF患病动物的开始治疗应采取合适的液体和电解质治疗,以使急性期平稳地进入稳定期。肾脏损伤和肾衰竭进展的原因一定要尽可能确定并清除(表5.5~表5.7)。建议主人在宠物适应范围内尽快改变环境和饮食。
提高食欲和防止呕吐 食物应可口、温热,质地适合患病动物口味。低蛋白、低钠日粮可推荐为治疗CRF动物的食品,但是这些食品对犬、猫来讲口感不佳。为了避免动物在诊所这一不利的环境中产生厌食,建议将食品带回家后再饲喂。患病动物每天少量多次进食要好于少次多量进食。低剂量的钙三醇治疗和使用促红细胞生成素可能会增加食欲。提高食欲和降低呕吐使用H2组胺受体拮抗剂,如盐酸西咪替丁(犬:5mg/kg,口服,每天3~4次;猫:2.5~5mg/kg,每天1~2次)或者盐酸雷尼替丁(犬和猫:0.5mg,口服,每天2次)都能取得很好的效果。对于胃蠕动紊乱,胃复安(0.2~0.4mg,口服,每天3次),用来控制犬、猫的呕吐疗效显著。对于难以控制的呕吐,作为最后的办法,可选用作用于中枢的抗呕吐药,如曲美苄胺 [3mg/kg,口服,每天3次(仅对犬可用)],甲哌氯丙嗪(0.13mg/kg,口服,每天3~4次)以及氯丙嗪(0.5~2mg/kg,口服,每天1~4次)。不建议长期使用中枢作用的抗呕吐药,因为它们会引起嗜睡。调节饮食 营养是治疗CRF的主要方法。随时提供新鲜而干净的饮水,食物提供量为70~110kcalME/
(kg·d)。实际的量应根据动物身体状态和对食物的反应来定。
表5.8 患有CRF犬和猫的蛋白质限制

限制蛋白 患有CRF的犬调节蛋白的摄入量,目的是使血液尿素氮(BUN)水平保持在小于80mg/dL(尿素13.3mmol/L)。低蛋白日粮会使患有CRF的犬看起来更强壮、更有活力,被毛更健康。另外,尿量下降,因为尿毒症犬倾向于异化代谢状态,日粮蛋白需求至少稍高于正常犬。患有CRF的犬不能够耐受蛋白质低于2.2g/(kg·d),猫的最低限量是4.25g/(kg·d)(表5.8)。患有CRF犬的日粮蛋白质过少,有报道认为会出现低血清蛋白血症、贫血症和代谢性酸中毒,最好定期检查这些指标。
控制肾脏继发甲状旁腺功能亢进:
● 低磷酸盐日粮(见前面)。
● 口服磷酸盐结合药物。
● 低剂量的钙三醇。
当日粮磷酸盐的摄入减少后可以相应地降低GFR,也可以控制肾脏继发甲状旁腺功能亢进。日粮中的磷酸盐水平可以降低到犬30~60mg/100kcalME,猫100mg/100kcalME,其目标是使血清磷水平小于6mg/dL(1.9mmol/L)。
然而,单独限制日粮中磷酸盐不能够使血清磷的水平降低到这个程度,为达到这个目的,应该使用磷酸盐结合剂。合适的磷酸盐结合药物有氢氧化铝凝胶和碳酸铝。尽管液体形式的药物更有效,但是对于犬,片剂和胶囊易于被犬接受。对于犬和猫,氢氧化铝凝胶和碳酸铝的建议剂量为10~30mg/kg,口服,每天3次。结合低磷日粮,再使用磷酸盐结合药物,对降低血清磷更为有效。
患有CRF人,钙盐能够有效结合磷酸盐,但对患有CRF的犬、猫无作用,施药前必须密切注意血清磷的正常水平。钙盐应同食物一起给予,进食时会降低高血钙。血钙过高同时伴有血磷过高会引起软组织矿化和肾脏迅速衰竭。
即使患有CRF的动物饲喂了低磷日粮并使用了磷酸盐结合剂,其血清PTH常常保持在异常高的水平。如果血清钙和血清磷水平都在正常范围之内,可以使用钙三醇(1.2~3.5μg/kg,口服,每天1次),此为肠道吸收钙剂的最小剂量,直接抑制PTH的产生。在使用钙三醇期间,定期检查血清钙和血清磷的水平,还应该测量PTH的水平以确定治疗作用。甲状旁腺功能亢进已知是有害的,但是对患有CRF的动物使用钙三醇来精确地降低PTH的水平更容易被检测。
钠的限制 对患有CRF的犬和猫,建议中度的日粮钠限制:50~60mg/100kcalME。甚至是对晚期的CRF,肾脏对钠排泄的调节范围很大,对食物中钠的调节时间会超过好几天。然而,应该避免摄入高剂量的钠,因为它会加剧高血压并且能引起视网膜脱落和失明。
碱治疗 采取碱治疗以维持犬猫血清碳酸氢盐水平大于17mEq/L(mmol/L)。剂量应根据实际情况而变动,但是开始应该在0.1mEq(mmol/L)/kg,口服,每天2~3次。对于碳酸氢钠相应的量为10mg/kg,口服,每天2~3次。在纠正酸中毒时,为了避免钠的供给量过度,应该使用非含钠的碱性物质,如柠檬酸钾和葡萄糖酸钾。
补充钾 在猫的CRF经常补充钾,以使血清钾离子浓度维持在大于4mEq/L(mmol/L)的水平。补充葡萄糖酸钾2~6mEq(mmol/L)/d,口服,开始剂量可以高,随后的几天应该低剂量维持。在治疗患有严重的钾损耗和多肌病猫时,在最初的治疗期间应该密切检测血清钾的水平。
补充维生素 人类尿毒症患者一般在食物中补充复合维生素B和维生素C,因为身体缺乏叶酸、维生素B6和抗坏血酸盐。对于犬和猫也建议使用这类药物,但有关权威数据尚未报道。
补充脂类 调节日粮中的脂类可以改变GFR和CRF发展。有关犬自发性CRF的报道,显示添加n-6多聚不饱和脂肪酸比n-3多聚不饱和脂肪酸容易使GFR升高。另外一篇结论类似的关于实验模型CRF犬的报道,应用n-3多聚不饱和脂肪酸比使用n-6多聚不饱和脂肪酸的对照组犬,更能够降低血管球性高血压和保护肾脏的结构和功能。因此,日粮中添加n-6多聚不饱和脂肪酸可以增加GFR,使得CRF进一步发展。进一步研究需要阐明的是对患有CRF的犬和猫日粮中添加多聚不饱和脂肪酸的危险性和有益性。
纠正贫血 对于表现贫血症的CRF患犬,最好使用α-依泊丁(50~100U/kg,皮下注射,每周2次)治疗。许多患有CRF贫血的动物体内发生铁耗竭。适当地补充硫酸铁盐(犬,100~200mg,口服,每天1次;猫,50~100mg,口服,每天1次)可以纠正。如果血清铁浓度、总的铁结合能力和转铁蛋白的饱和度正常,开始时可以使用α-依泊丁。定期检查患病动物的PCV以确定治疗效果和防止用药量过多出现红细胞增多症。一旦纠正了贫血,α-依泊丁的剂量应该减少并减少用药次数。α-依泊丁仅仅用于严重贫血(如PCV小于25%)的CRF动物,因为这种药物对60%的犬和猫具有免疫源性,抗体反应不强烈,然而,39%的犬会产生高滴度抗体,α-依泊丁将失去药效,重新发生贫血。
通过前面介绍的α-依泊丁,建议使用同化的类固醇类药物(如诺龙癸酸1~1.5mg/kg,肌注,每周2次)来纠正CRF的贫血。这种治疗方法对人类患者的作用较小,在犬和猫同化的类固醇类的作用如同造血作用还没有被证明。
抗高血压药物 抗高血压药物用来治疗患有严重高血压的动物 [收缩压大于180mmHg(24kPa),舒张压大于120mmHg(16kPa),并且平均压大于140mmHg(18.7kPa)],尤其要留意没有临床记录的患病动物。严重的高血压最明显的临床危害是引起视网膜脱落和急性失明,这仅仅在血压值非常高时才出现。因此,对于动物高血压没有必要进行降压到正常范围,只要收缩压小于160mmHg(21.3kPa),舒张压小于110mmHg(14.7kPa),平均压在130mmHg(17.3kPa)就能阻止眼睛发生并发症。
高血压的治疗应制订谨慎的步骤,治疗2~4周后应重新测定血压,再进行下一疗程的治疗。第一步是饲喂低钠日粮,第二步是使用血管紧张素转换酶抑制剂(ACE),如犬用贝那普利(0.5mg/kg,口服,每天1~2次),猫用阿姆罗赫(0.625~1.25mg/kg,口服,每天1次)。第三步可对犬和猫使用β-神经阻滞剂,如氨酰心安2mg/kg,口服,每天1次。钙通道阻断剂,如硫氮 酮也可用于血管舒张。需要多种药物治疗时,药物潜在的相互作用会对CRF保持更持久和更强的药效。
血液透析和肾脏移植 血液透析每周2~3次,可以维持患有CRF犬和猫的生命,这种治疗方法在美国只有少数的几家参考中心医院提供,技术上可行但是只有极少的犬去接受治疗。然而,可靠而长期的血管通路、设备费用、消耗品和训练有素的技术人员是普及这种治疗的最大障碍。
肾脏移植对于猫成功率较高,但是对于组织相容性差的犬成功率很低,免疫抑制药物和抗淋巴细胞血清可以用于控制免疫排斥和提高动物术后的生存时间,手术花费昂贵。
CRF的护理 通过一系列GFR检测可确定CRF的发展速度。闪烁扫描术排除可精确测定GFR,这是特殊的昂贵设备,专用于临床。血清肌酐时间作用图可作为加速CRF发展的一种方法。但这种图纸不太准确,其值也受到一定限制。引发本病的因素,高磷日粮摄入、犬的严重高血压以及猫的血钾过少应予以重视。
对CRF药物剂量的调节 治疗患有CRF动物的药物多伴有有害的副作用,药物主要通过肾脏排出,当给予正常剂量时,倾向于集中在肾脏的药物浓度要高于血浆的浓度,而且在氮质血症时,药物的分布以及和蛋白质的结合被改变,因此副作用更强了。
药物通过非肾脏系统排泄很少引起问题,药物主要通过肾脏排泄可能会引起:①无害,甚至很高的血液药物浓度;②在高血浆浓度时中毒,甚至更恶劣;③在高血浆浓度时肾脏中毒。
因为药物主要由肾脏排泄,因此应根据血药浓度水平的测定或者通过患病动物GFR的准确测定来确定合适的药物剂量(Kf)。
Kf=患病动物GFR/正常GFR
剂量调整可以下面两种途径处理:
● 缩减剂量:根据Kf减少正常剂量。
● 调节用药间隔:根据Kf增加正常的用药间隔时间。
由于GFR对大多数临床病例不能获得Kf,临床医生可以通过自己的化验室根据患病动物血清肌酐和正常犬血清肌酐平均值的比率来粗略地估算Kf。根据计算出的Kf值,精确地计算氨基糖苷类抗生素的用药剂量。固定剂量增加用药间隔时间的调节比减少剂量、固定用药间隔时间的调节对肾脏的危害性小。


图5.15和图5.16 犬慢性肾衰竭肾脏的组织病理学。图5.15肾血管球硬化症和单核性间隙性渗透病变。图5.16肾小管萎缩和间隙纤维化。