概述 在所有宠物医生治疗的不同临床疾病中,急性胰腺炎可能是最难医治的。尽管不断地获取胰腺生理和病理生理学方面的知识,至今仍没有很好的方法能直接治疗急性坏死性胰腺炎。然而,最理想的治疗结果取决于临床医生对犬和猫生理学、病理生理学、临床特征、药物和外科治疗等临床经验的掌握程度。
病因学 幸运的是犬和猫胰腺炎的发生没有人类发病病因那么多(表3.20),但是也有几个发病机制应该考虑,如胰腺导管的阻塞、饮食因素、传染性原因、创伤、毒性药物反应、代谢异常和血管变化。
表3.20 人类急性胰腺炎的一些病因

注:*这些因素在犬和猫变得复杂。
病理生理学 许多能破坏抗蛋白酶保护作用的因素,其共同特性能引起胰细胞代谢紊乱,以及增强胰泡细胞内环包溶体水解酶的细胞脂蛋白膜通透性,其后果造成不适当的酶原激活和自身消化。激活的胰酶的特征和它们对胰腺的作用如表3.21所示,病理学图示见图3.236~图3.255。
表3.21 胰酶特点及其对胰腺的作用


图3.236 7岁雄性贵宾犬持续性呕吐,药物治疗5~7天后,手术显示水肿的胰腺炎。

图3.237 4岁雌性的约克夏 死后剖检显示水肿的胰腺炎和广泛的胰腺周围脂肪坏疽。这只犬还有糖尿病酮酸中毒和肾衰竭。

图3.238 10岁雄性硬毛狐狸 手术显示出血性坏死性胰腺炎,胰腺一半出血,另一半水肿(箭头所指)。

图3.239 图3.238的犬X线拍片检查是典型的急性胰腺炎,显现出右上腹部扇形液体密度增加(箭头所指),十二指肠向一侧移位。

图3.240 接下来1年多时间里,图3.239中患犬有过几次胰腺炎复发,最终死于肾衰竭。死后剖检显示除新近胰腺坏死变化外,还有慢性瘢痕形成。

图3.241 13岁雌性拉萨犬死后剖检腹部显示有弥漫性水肿性胰腺炎,并伴发整个肠系膜和网膜的钙化灶沉积(箭头所指)。

图3.242 图3.241中的另外一个标本观察显示,急性胰腺炎时钙化灶的形成原因之一是血清钙水平低。

图3.243 14岁雌性腊肠犬除患急性胰腺炎外,还有胸腔渗漏液,其液体是血清血液。在胸腔脏器下胸膜上还有钙化灶沉积。

图3.244 图3.241中的患犬显示肋间肌有钙化灶沉淀(箭头所指)。

图3.245 图3.243的患犬有水肿性胰腺炎(箭头所指)。

图3.246 死后剖检发现严重出血性胰腺炎,伴发十二指肠病理性凝血(箭头所指)和网膜梗死。

图3.247 图3.246病例明显的胰腺坏死,胰腺周围淋巴结由于出血坏死而明显增大。

图3.248 9岁的犬出现多处脾脏梗死,手术中死亡后剖检,弥漫性血管内凝血是造成凝血过度的原因。

图3.249 外科手术显示的16岁猫慢性活动性胰腺炎:早在3年前因为急性胰腺炎就诊,保守治疗反应良好。

图3.250 这只10岁猫由于出现原发性呕吐、沉郁和出血性腹腔渗漏液,外科手术确诊为出血性胰腺炎,术后2~3天进行多次清洗和插入腹部引流管。通常此为治疗此型疾病的外科方法。

图3.251 12岁雌性猫经过7天的药物治疗后,因没有症状改善而进行手术。手术显示出血性胰腺炎伴发广泛的胰腺周围和肠系膜的钙化灶形成(箭头所指)。术后通过手术中空肠造口插管提供营养,这只猫病后3周后治愈。

图3.252 5岁雄性拉布拉多猎犬有呕吐、精神沉郁和腹痛表现。

图3.253 从图3.252患犬开始采得的血样有明显的高脂血症,尽管经多方尽力医治,但最终仍死亡。

图3.254 图3.252中的患犬死后剖检:显示弥漫性甲状腺萎缩,有严重的动脉粥样硬化血管损伤,包括冠状动脉(箭头所指)。

图3.255 图3.252中的患犬还有广泛的胰腺蜂窝织炎形成,这只犬胰腺炎的发病机制是甲状腺功能减退引起明显的高血脂,反过来高血脂又诱发急性胰腺炎。已知高血脂是引起人急性胰腺炎的常见原因。
犬和猫急性胰腺炎表现显著的血压降低,这可能是该病致死的主要因素,人类严重胰腺炎的血液动力学研究显示,心脏指数增加,全身性的血管张力降低;这些变化与脓毒症相似,这个反应的作用机制涉及到不同的炎性介质,包括白细胞介素(IL-1、IL-2、IL-6、IL-8)、肿瘤坏死因子(TNF)、血小板激活因子(PAF)和r-干扰素。循环中作用于血管成分,如血管缓激肽和心肌抑制因子(犬类)由胰腺坏死引起,反过来又使血管舒缩不稳定。低血压也可能是由于血浆中的液体进入到腹膜第三空间和腹膜后腔所致。犬实验诱导急性胰腺炎后4小时,循环系统全血浆能减少约35%。
临床症状 大多数发生急性胰腺炎犬是中年肥胖的雌性犬,但是体重正常和雄性犬也可能患病。病史中最普遍的症状包括突然呕吐、厌食和精神沉郁。某些病例报道是由于脂肪摄入过多,当然这不可能是一致的情况。刚开始呕吐物中可能含有部分未消化的食物,紧接着呕吐物含有胆汁和水状黏液。开始呕吐后,犬可能只表现反胃动作。情绪从较温顺到明显的精神沉郁,姿态正常或直立腹部上收,是否侧卧取决于疼痛和血容量减少的程度。偶尔也可能发生腹泻,但是由于腹膜炎导致的肠梗阻,使粪便稀少或不排便(图3.256~图3.258)。
猫患急性胰腺炎,年龄从青年到老年都有,但是大多数患猫年龄超过8岁,多数体重正常。临床症状与犬相似,偶见没有呕吐(图3.259和图3.260)。
身体检查结果随疾病的严重性而不同,犬和猫患有轻微胰腺炎只表现轻度的精神不振,其他都显示正常;触诊腹部柔软,胰腺出血坏死时的症状,包括:明显的精神沉郁,发热,伴有心动过速,呼吸急促和脉搏微弱的低血压,腹痛,从中度到明显程度脱水,猫腹部触诊有时发现肠粘连(图3.261)。
坏死性胰腺炎初期临床上不会出现黄疸,可在第三天出现,一般由于胆汁瘀积导致,胆管阻塞少见。腹部膨大是由于麻痹性肠梗阻所致。红棕色腹水液(胰腺性腹水)有时是出血性坏死胰腺炎导致的积液。
鉴别诊断 急性胰腺炎初期的鉴别诊断要与多种临床疾病鉴别(表3.22),表中广泛列出了任何有急性腹腔综合征相似症状的疾病。有几个是外科急诊,需要快速诊断和治疗。
诊断
两种最常用方法是X线和超声波。犬和猫急性胰腺炎的腹部X线能显示几处异常。在轻度水肿时,可见包括胃和十二指肠从正常到轻度肠梗阻范围。更严重时,由于腹膜炎会导致以下变化:在腹腔前部由于液体密度增加,使内脏详细影像消失,右侧十二指肠移位和胃扩张。除这些典型症状外,急性胰腺炎X线显示胸腔渗漏液和肺部积液(图3.262和图3.263)。
表3.22 犬和猫的急性胰腺炎的鉴别诊断


图3.256 急性胰腺炎的临床症状从轻度到重度有不同的变化。这只13岁雌性贵宾犬进食后立即出现急性呕吐、精神沉郁和明显的腹痛。尽管加大剂量的输液治疗,但最终死于出血坏死性胰腺炎。

图3.257 图3.256中表现呕吐、沉郁和严重腹痛特急性症状的病犬,虽经精心努力治疗最终死亡。尸体剖检显示钙化灶沉积(三角所指)在腹部脂肪上,并有胰腺性腹水。

图3.258 图3.256中的犬死后剖检有严重的出血性胰腺坏死(箭头所指)。

图3.259 猫典型胰腺炎伴有厌食、精神沉郁和明显的不喜运动。虽有许多猫表现呕吐,但也有一些猫并不出现呕吐。大多数患有胰腺炎的猫表现腹部柔软,不同程度的X线片病理变化。 确诊只能通过对胰腺粗略造影及需要或不需要活组织和组织病理检查。

图3.260 图3.259中表现有急性胰腺炎猫的侧腹部X线片:显示有弥散的腹部渗漏液和小肠管的 “集合效应”。在外科手术中(图3.261)看到这些损伤是很明显的。大量的腹膜后腔脂肪导致了降结肠的腹侧下降。

图3.261 16岁家养短毛雌猫手术看到了腹部触诊感知的小肠粘连,还看到腹膜的壁层和脏层上的弥漫性钙化灶沉积,这些沉积是急性胰腺炎的示病症状。


图3.262和图3.263 犬患有急性胰腺炎的几种异常的侧面和腹背面的X线片,侧面投影(图3.262)显示腹中前部不清楚,腹前部液体密度增加,从末端到肝脏(箭头所指)。腹背面X片(图3.263)可见与十二指肠梗阻一起,单侧右上腹部液体密度增加。

图3.264 一只7岁雄性英国可卡犬腹部超声波检查为典型的急性胰腺炎病变,包括胰腺实质的低回声(短箭头所指)和炎性胰腺周围脂肪明显的高回声,其脂肪含有多量钙沉积(长箭头所指)。该犬也有患艾迪生病的危险。患犬无尿最后安乐死。尸体剖解发现包括急性坏死性胰腺炎(与图3.257、图3.258相似),双侧肾上腺皮质萎缩,甲状腺萎缩。它是不能治疗的甲状腺功能减退导致了高脂血症,高脂血症导致犬急性胰腺炎。
超声波在探查与胰腺炎相关的病理变化时是很有用的。然而,正常胰腺很少显现,发炎器官增强了低回声。胰腺周围脂肪炎症的出现,使胰腺周界变成高回声。胰腺右侧支发炎能导致十二指肠明显增厚。胰腺无回声的假囊肿和脓肿形成,胰腺性腹水,超声波都可探查到。过度扩张的肠袢是限制图像显示的主要因素(图3.264~图3.267)。
临床病理学 犬、猫典型急性胰腺炎的实验室检验异常已描述,见表3.23和图3.268说明。猫血清生化项目是变化的,范围从正常到异常,包括肾、肝、葡萄糖、蛋白质和电解液参数。血象常常表示炎症反应。
脂肪酶或淀粉酶作为诊断测试已争议多年,因为二酶水平在发生急性胰腺炎时仍然正常。当选择血清淀粉酶检验时,分解淀粉方法的程序是很重要的;正常犬、胰腺炎犬、肾衰竭犬、肾衰竭和急性胰腺炎犬的实验检验结果都有解释价值。血清中淀粉酶值比正常值增加2~3倍时,则可怀疑是急性胰腺炎。


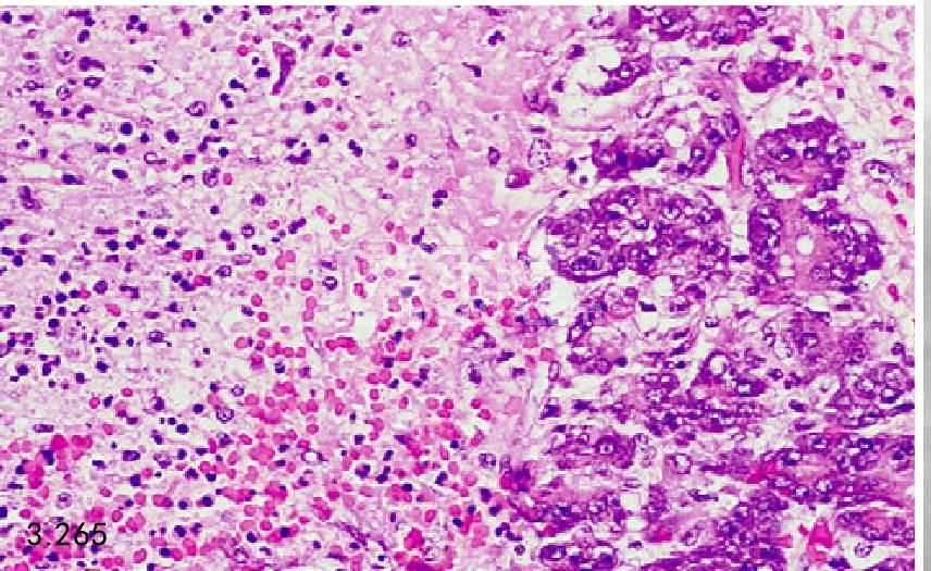
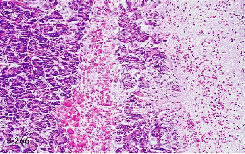
图3.265和图3.266 上图患犬胰腺的组织病理学图片显示为腺体坏死、出血、水肿,由中性粒细胞和巨嗜细胞的炎性浸润(H&E)。

图3.267 猫急性胰腺炎超声检查的典型征象,实质组织低回声和高回声边缘(箭头所指)清晰可见。7岁雄猫也是酮酸性糖尿病,单独加强治疗3周会有所改善。两种病最后都得到治愈。
表3.23 犬和猫急性胰腺炎伴发的临床病理异常


图3.268 图3.237中患犬的血液生化指标异常。这些血液生化指标支持了高渗透压性糖尿病性酮酸中毒和肾衰竭的诊断。血液淀粉酶和脂酶超过正常水平2倍以上,支持了急性胰腺炎的诊断。钙盐形成使血钙浓度降低。肝脂沉积和胆脂沉积使肝酶浓度升高,而低血钠可能由于肾小管钠吸收障碍,渗透压性多尿症和呕吐造成。高血脂或高血糖可能引起假性低血钠。总CO2浓度降低可能提示代谢性酸中毒,高血糖使渗透性升高。
已报道在诊断犬急性胰腺炎时,血清脂肪酶比淀粉酶更可靠。然而,脂肪酶和淀粉酶在几种严重的腹部疾病中也会升高,如肝脏病、肾病和肿瘤生成。在严重胰腺损伤发生时,血清淀粉酶和脂肪酶活性可能正常或甚至降低,血清淀粉酶和脂肪酶检验结果的解释,经常是结合动物临床症状作出。
在猫胰腺炎时,异常升高的血清脂肪酶和淀粉酶水平是变化无常的,不应该作为诊断的唯一标准。然而猫患急性胰腺炎,两种酶水平常常出现正常。如果在肾功能正常时,血清淀粉酶和脂肪酶活性都增加2倍或更高,则提示有急性胰腺炎的发生。
血清类似胰蛋白酶免疫活性(TLI)试验对猫看来像是非常敏感的,对犬可能是最特异性试验。急性胰腺炎时升高超过35μg/L。在疾病早期血清中TLI趋向升高,然后快速下降。
治疗 治疗时可通过非肠道途径提供所需液体和电解液,禁食(NPO)。治疗严重胰腺炎的基本原则见表3.24。
有轻微表现病史和临床症状而实验室检验结果变化不大的患病动物,采用保守治疗时应非口服给食物1~2天,并提供充足的水。如果持续呕吐,非口服摄取限制应该延长5~7天或更长,给予动物所需液体要采用非胃肠道给予方式。有些病例中,NPO治疗要求持续14天或更多天才有效果。
表3.24 犬严重胰腺炎治疗的基本原则

治疗严重胰腺炎,最重要的是经非胃肠道提供足够的液体。犬严重低血压时采用快速注入乳酸林格氏液或0.9%的生理盐水,治疗最初1~2小时的剂量应为70~90mL/kg(猫用30~40mL/kg)。当危险症状稳定和有适量尿排出,逐渐给予60~120mL/kg维持输液率,应持续22~23小时。静脉输入维持溶液由2.5%~5%葡萄糖和0.45%氯化钠溶液组成,再添加氯2.5%~5%葡萄糖和0.45%氯化钠溶液组成,再添加氯化钾 [3~5mEq/(kg·d)] 和复合维生素B液。辨认任何酸碱异常,并给予合理治疗。严重低蛋白血的动物 [血清清蛋白小于2.3g/dL(23g/L)] 应给予新鲜血浆治疗。这不仅可以增加血浆膨胀压,而且有助于防止水肿的形成、胸腔渗出、肺水肿和肾衰竭等,也是胰蛋白酶抑制剂的一种来源,抑制剂理论上考虑有其治疗价值。其他胶体溶液,如羟乙基淀粉和右旋糖酐可用作血浆代替品。
患病动物血浆容积适量补充后,有尿排出就是证明。在不再补钾和脱水纠正后,仍少尿或无尿时,应用呋塞米来诱导排尿。动物血浆呈高渗状态时,则应避免渗透利尿的诱导。在少尿时维持NPO补液的体积应等于生成尿的体积加上其余液体的损失 [10mL/(kg·d)] ;在无尿时,任何强给液体利尿的行为都可能引起致命性肺水肿的发生。在肾衰竭少尿期,为了促进多排尿,虽有争议,仍可在静脉输液中每分钟加入多巴胺3~5μg/kg,治疗30分钟。
可使用不同的药物来治疗胃肠道疾病,如阿托品和丙胺太林(过去常用于止吐),但是它们有害于副交感神经的副作用常常大于其有益方面。在限制食物和水来抑制呕吐期间,避免使用任何止吐药物。如果持续呕吐,可使用甲氧氯普胺,它没有副交适神经的副作用,可用于早期止吐,推荐剂量为0.2~0.4mg/kg,皮下注射,每天3~4次或每天1mg/kg,连续静脉注射。
推荐使用西咪替丁,因为它能抑制胃酸分泌。尽管理论上可使用,但没有临床试验证实西咪替丁对急性胰腺炎的治疗有效。
抗生素常用于中度和重度病症。患病动物还易引发各种并发症,包括败血症、尿道感染(特别当使用导尿管导尿时)、肺炎和胰腺脓肿的形成。由于有的由多种细菌混合感染,推荐应用广谱抗生素来治疗包括需氧菌和厌氧菌。胰腺的细菌感染可来自门淋巴结、胆管系统、结肠或身体其他部位细菌的传播。氨苄西林、喹诺酮类药和第一代头孢菌素可放心使用。氨基甙类抗生素使用要小心,由于临床上使用此类药物对肾脏有害,况且肾脏功能本来已有损害。
治疗时提供充足的营养可能是最困难的。5%葡萄糖溶液只能提供少量能量,治疗初期几天够用,但是这个能量值远低于患病动物以后1~2周完全限制口服食物所需要的能量,这种限制进食是为了抑制胰腺蛋白水解酶的分泌。在最初5~7天禁食后,许多动物可恢复摄入液体,然后再给食物。犬在非口服食物途径过后,第一天可提供少量的水,接下来的2~3天如果动物不呕吐,可给予咸饼干加牛肉或鸡肉汤;如果进展顺利,以后4~5天时可提供少量低脂食物。此时不再呕吐,可长期提供低脂食物。给猫食物也是逐渐改变的,但没有任何限制脂肪的需要。
如果患病动物在口服饲喂开始后出现呕吐,则可以考虑不经胃肠道静脉注入营养或肠造口插管饲喂。前者多有争议,因为静脉内注射氨基酸和脂溶液可以刺激犬胰腺分泌。静脉内输入营养过多常出现包括与插管有关的静脉炎和败血症、血浆高渗透压,而且常需要仔细配制,价格也昂贵。为了大量给药方便又有助于特殊治疗,静脉输入营养仍可应用。空肠造口术管道和全价营养注入是动物吸取营养的另一种方式,有助于延长患有急性胰腺炎动物的生命。虽然营养过多对人类急性胰腺炎有很小的病理生理作用,但是适当增加营养供给对该病有益。
镇痛药有助于消除动物极度疼痛。硫代二苯胺类药在治疗初期禁用,因为该药物可能导致血压再度降低。小剂量的氯丙嗪(1~5mg/kg,肌肉注射,每天4~6次)或涂在皮上的芬太尼软膏是几种可用于犬的止痛药中的两种。猫止痛药可以用布托啡诺(环丁甲二羟吗喃,butorphanol,0.1~0.4mg/kg,肌肉注射或静脉注射或皮下注射,根据动物反应隔1~4小时1次)。硬膜外应用止痛剂止痛效果很好。
当血中葡萄糖值超过300mg/dL(16.7mmol/L)时,可使用胰岛素治疗,普通锌结晶胰岛素开始推荐皮下注射剂量为0.5U/kg体重,因为该药的作用时间短,尤其是暂时的高血糖症。如果患病动物表现对胰岛素依赖,应该根据现有情况来处理。出现低血压时,普通胰岛素应缓慢不断地静脉输入(每小时0.1U/kg)。
外科治疗 动物急性胰腺炎手术时,有几个重要注意事项:治疗潜在性的可行疾病,如胰腺假性囊肿或脓肿;消除最初胰腺炎疾病;在出血性坏死胰腺炎的败血性阶段,应切除坏死或感染病灶;纠正并发症如胆管阻塞(图3.269~图3.274)。
药物治疗5~7天仍无效的中度到重度患病动物或严重出血性坏死性胰腺炎的早期阶段,应采取剖腹和腹腔冲洗的方法。胰腺感染性病例也可进行外科治疗。灌洗引起的低蛋白血症和血清电解液缺乏,应该分别用血浆和一定比例的电解液来纠正。手术中,空肠造口插管要做,以便术后有利于通过肠管饲喂。
并发症和长期治疗 表3.25为急性或慢性(超过2周)胰腺炎的几种并发症。犬的长期药物治疗,还包括低脂肪食物,每天分2~3次饲喂。糖尿病和胰腺外分泌功能不足治疗,可根据已有的方案进行。

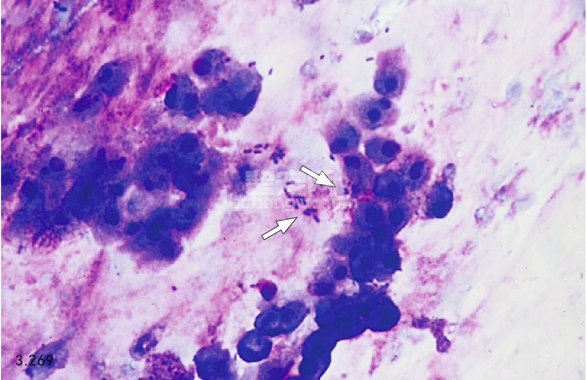
图3.269 急性胰腺炎手术的显示之一为胰腺蜂窝织炎和继发性细菌感染。此犬患有明显胰腺蜂窝织炎坏死和脓肿形成,取腹腔液检验其细胞。图中可见中毒性中性粒细胞中含有细菌,细胞外有游离细菌(箭头所指)。发生感染细菌培养时,多常见革兰阴性菌。

图3.270 3岁雌性雪纳瑞犬胰腺炎手术治疗,单独运用药物治疗时很难治愈。该图中显示腹膜炎和分离开的肠系膜脓肿,包括手术植入的引流管,此管在手术后保留3天。该犬需两次分离手术清创和引流。细心护理5周后动物逐步好转。

图3.271 10岁约克夏 发生急性出血性坏死性胰腺炎,表现为气性残留物和腹膜炎。运用手术清创和腹腔引流管来治疗该犬。

图3.272 7岁雄性硬毛猎狐 患有出血性胰腺炎,手术中它与腹腔内炎症组织几乎难以区分。肠系膜根部有一个大脓肿腔。

图3.273 图3.272患犬的腔中含有异常多的脓液,从中分离出大肠杆菌。

图3.274 猫急性胰腺炎病理变化与犬的一样。手术前腹部超声波检查发现一个蜂窝织炎腔,清除坏死组织后植入引流管。这只6岁雄性猫在康复之前需进行两次腹部手术。
表3.25 急性胰腺炎的并发症

注:*“急性”指最初的14天;“慢性”一般超过14天。