概述 急性肾衰竭能在几天内使肾脏功能迅速下降,患病动物急性发病并出现明显的临床症状。少尿和多尿都会出现。如果肾脏组织没有完全损坏,会出现潜在的代偿功能,长期支持护理后,患病动物会恢复正常的肾脏功能来维持正常的代谢过程。
病因学 许多因素可引起急性肾衰竭,从起源上可分为肾前性、原发性和肾后性肾衰竭(表5.1)。
表5.1 急性肾衰竭的病因

病理生理学 ARF开始和维持包括下面一项或几项内容:
● 肾小球渗透性降低,这会发展成缺血和肾毒性的危害。出现肾小球的基膜渗透性和表面积降低。
● 肾脏血管收缩。在许多的ARF的模型中观察到了肾脏血流灌注的降低。交感神经系统、肾上腺素和去甲肾上腺素、内皮缩血管肽和肾素-血管紧张素系统对于肾脏血管收缩的发生都具有起始的作用。由于管状细胞的损伤不能缓和肾小管的液体到达近肾小球的致密斑,肾素-血管紧张素活性被诱发。肾脏血液灌流的降低,相对于肾皮质、外部的髓质变得相对缺氧,与肾皮质比较这个区域会相对降低与新陈代谢活性细胞相结合的血管分布,如近端回旋肾小管和厚密的汉勒环升袢的S3部分。
● 肾小管回漏或者通过损伤的肾小管上皮过滤并扩散到肾脏间隙,这样会引起持续性少尿。
● 在某些情况下,细胞碎片阻塞肾小管(图5.1)也具有重要的作用。
尽管肾功能降低和持续性少尿的准确机制还不十分清楚,一般认为是缺血性细胞损伤,正常的细胞膜渗透性和跨膜电解质转运的功能丢失,引起胞质成分改变和细胞肿胀。一旦肾脏的血液灌流重新建立,多次灌注损伤引起氧自由基产生会导致细胞进一步损害。
多尿性急性肾衰竭似乎没有那么严重,肾小球滤过率(GFR)降低,但是肾小球和肾小管的破坏不足以引起少尿症。相反,受损伤的肾小管的滤过能力降低,反而使尿液排出量增多。ARF的少尿期恢复后,一般多尿会持续24~72小时。引起多尿的可能原因包括排泄物中溶质积聚;补充液体过多,过分治疗超过身体正常承受力;肾小管细胞损伤,肾小球的滤过率没有改善。
临床症状 患有急性肾衰竭的动物通常会突然出现精神沉郁、呕吐、食欲减退和烦渴(图5.2和图5.3)。根据病因不同,一般最常出现少尿,但是在恢复期或者初期也会出现多尿的现象。有时能观察到癫痫发作和肌肉震颤,最终动物发展到昏迷。与ARF急性发作的其他临床症状也会出现。
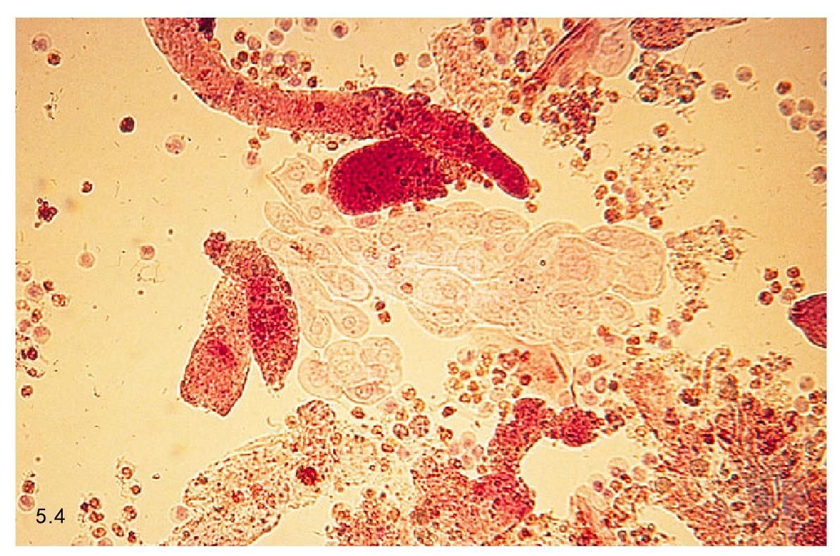
患病动物表现为脱水。ARF不是由于细菌感染引起,尿液会出现“尿毒症气味”,动物常表现体温过低、肾脏体积比正常时大,触诊时表现疼痛。ARF肾后性病因与膀胱过度膨胀、腹腔中的液体、腹膜后间隙或会阴部皮下撕裂的位置有关,有时发展为舌、齿龈和上腭坏疽,并常见淋巴球减少症。肾脏损伤非常严重,血清肌酐、血液尿素氮(BUN)和血清磷酸盐水平迅速升高,能连续升高直到死亡,开始透析。血钙过少常伴有血磷升高、血钾升高和严重的代谢性酸毒症(即阴离子广泛的渗出),使ARF发展为氮质血症和少尿症。多尿期常表现为血钾正常或稍低。血液葡萄糖水平可能略微升高,无论脱水与否,尿比重常会降低(小于1.017)。高血糖症不很严重时,蛋白尿、血尿、糖尿一般会出现。尿沉积物常有活性,为脱落的上皮细胞、红细胞、嗜中性粒细胞、淋巴细胞和晶体、颗粒与细胞管型(图5.4)。
鉴别诊断 应与肾前性氮质血症,原发性肾脏氮质血症,慢性肾衰竭及肾后性氮质血症相鉴别。
诊断 患有ARF动物的典型表现是突然出现精神沉郁、昏睡、厌食、呕吐、腹泻、少尿或者多尿、震颤、癫痫发作和昏迷,以上症状出现次数和表现程度取决于原发性病因和肾脏损害的范围(图5.5)。

图5.1 急性肾衰竭少尿原因的假说:①血管收缩;②肾小球渗透性降低;③回漏;④肾小管阻塞。


图5.2和图5.3 犬急性肾衰竭的舌坏疽。图5.2 坏疽舌尖变色,图5.3 坏疽蜕皮脱落后的外观。

图5.4 犬急性肾衰竭尿沉积物中的颗粒状管型。

图5.5 猎狐犬的细螺旋体病。同样程度的氮质血症,但是患有急性肾衰竭的动物的病情比患有慢性肾衰竭的动物要严重。
一旦确定出现氮血症,必须做肾前性、肾原发性和肾后性氮质血症的鉴别诊断。大多数患有肾前性氮质血症的动物,其尿液比重高,并且FENa+<1。通过再水合和治疗特定的肾前性的因素来治疗肾前性氮质血症,并进一步提供肾前性氮质血症的证据。过度的膀胱膨胀或者尿路破裂可证明是肾后性氮质血症。随着病犬膀胱的破裂,会发生低钠血症和腹水肌酐水平高于血清肌酐水平的现象。
为了提供合适的治疗和准确的预后,必须鉴别急性肾衰竭和慢性肾衰竭(CRF)(表5.2)。当发生肾毒素性疾病,血清肌氨酸酐和BUN(尿素)水平迅速升高时很容易诊断为ARF。然而,相对突发临床症状的氮质血症有时也与CRF有关。患有ARF的动物通常少尿,但是温和形式的发病和肾毒素会出现多尿,如氨基糖甙类药物、两性霉素B和血钙过多时。ARF和CRF的血浆钠和钾的主要变化相似。患有ARF的动物不会发生贫血,除非有其他的原因在当时引发出血。尿分析显示轻微的蛋白尿并伴有尿沉渣,包括很多管型和脱落的上皮细胞。二水合草酸钙和/或一水合结晶尿与乙二醇中毒有关(图5.6)。X线学检查可以确定肾脏是正常大小还是变大了,造影检查有助于确定尿道的损伤或者狭窄部位。超声检查也有助于诊断,如乙二醇中毒时回声增强(图5.7)。在许多情况下,肾组织活检有助于区别ARF还是CRF,并能确定肾脏损伤的严重程度,由于有很高的出血性危险,所以肾脏活组织检查并不是常规的检查项目。
治疗 识别并纠正引发ARF的病因,尽量降低对肾脏的持续损害。鉴定并纠正可能的致病或者具有致病倾向的因素,采取解毒措施,限制对肾脏的进一步损害。治疗可分为对所有患有ARF动物的非特异性的治疗和针对不同起始病因的特异性治疗。
表5.2 急性和慢性肾衰竭的鉴别

注:*不包括犬的淀粉样变性;*许多年轻猫的慢性肾衰竭其肾脏变大。

图5.6 乙二醇中毒时尿沉积物中的典型的草酸钙-水合晶体(箭头所指)。

图5.7 超声波检查乙二醇中毒病犬的肾脏,在肾脏皮质区回声增强(箭头所指)。
非特异性治疗 所有肾前性因素应通过适当的静脉输液迅速予以纠正。通常,根据患病动物身体的血液、胶体、电解质和酸碱度来选择平衡等渗电解质溶液 [含钠130~154mEq/L(mmol/L)]。纠正贫血,选择血浆替代品或者合适的胶体溶液来治疗低清蛋白血。发生高钾血症,其值超过7.5mEq/L(mmol/L),应用特异性疗法予以纠正,特异性治疗高血钾包括碳酸氢钠、50%葡萄糖溶解的胰岛素和葡萄糖酸钙(表5.3)。这些措施只能在短时间内降低血钾,如果高血钾持续存在,应该采取透析疗法。
表5.3 急性肾衰竭高血钾的治疗

注:*可以不使用外源性的胰岛素,因为输注的葡萄糖能刺激内源性的胰岛素释放;然而,在猫的尿道阻塞时,是否有充足的胰岛素释放尚不清楚。**中和高血钾的心脏毒性作用,但不会降低血浆钾离子。
多数患有ARF的犬和猫随着大量阴离子的缺失会发展成酸中毒,但是患病动物会依靠呼吸的代偿作用和一定程度的呕吐来抗酸血症或者是碱血症。如果清楚是缺乏碳酸氢钠,应根据下面的公式补充碳酸氢钠:
HCO3需要量 [mEq(mmol)]=0.3×体重(kg)×碳酸氢盐缺失
如果不能提供碳酸氢钠测量值或者血气分析值,可以估算碳酸氢盐缺失:轻度氮血症=5;中度氮血症=8;严重氮血症=12。计算出的碳酸氢盐缺失的一半可以在1小时内给予,剩下的在随后的5~6小时以上给予,对于严重氮血症的患病动物有必要不断地重新评估其碳酸氢盐缺失。
纠正了脱水,患病动物会表现少尿或多尿。持续少尿,必须迅速缩减液体和电解质的输入,否则,体液过多会引起肺水肿、呼吸窘迫和呼吸衰竭。持续少尿动物静脉输液速度按如下公式计算:
日液体供应量=无感觉损失量 [10~15mL/(kg·d)]+额外的丢失量(呕吐、腹泻、发热)。
每天测量体重,以确定给予的液体量是否充足。在少尿期无感觉丢失的体液必须由含低钠的液体[66.5~77mEq/L(mmol/L)] 或者5%的葡萄糖溶液来补充。
一旦再水合完成,治疗多巴胺与结合渗透利尿和循环利尿可用于少尿性ARF,因为确定充足的尿液排出可以简化ARF病畜的液体处理。在ARF的实验模型中,使用甘露醇和速尿/多巴胺配合使用,在肾脏损伤时或损伤前能改善肾损伤治疗,但是,在ARF已经建立后,没有证据表明这些治疗能够改善肾脏功能和生存。
如果利尿没有成功,在20~30分钟后可再次输注20%~25%甘露醇,0.25g/kg静脉注射,3~5分钟输完。如果再次都没有促进利尿,就没有必要再使用甘露醇了。如果引发了利尿,可以继续输注8%~10%的甘露醇水溶液或者平衡电解质溶液以维持多尿状态。已经高渗透压状态(乙二醇中毒)时禁止使用甘露醇。同样,当给予渗透性利尿剂(如甘露醇)时,对于处在充血性心衰竭危险中的患病动物,容积超负荷时会发生肺水肿和呼吸衰竭。
在一个ARF模型中,速尿配合多巴胺对于治疗肾脏功能缺失要好于单独给予一种药物治疗。在ARF发生后,单独使用速尿经常能引起多尿,但是速尿配合多巴胺是否优于单独使用速尿的疗效还不清楚。如果30分钟没有引发多尿,按照2.2mg/kg(静脉注射)的量可第二次使用速尿。连续以3~5μg/(kg·min)(静脉注射)的剂量速度输注多巴胺。如果少尿症持续存在并且患病动物发展为严重的氮血症、高钾血症、酸血症或者水过多应该使用透析治疗。
在ARF的多尿期期间,要密切注意观察患病动物身体的液体和电解质状态,因为要留意脱水和发展为低钾血症。反复检测临床的体液状态和体重,调整血清钠和钾的值。对ARF的多尿期最合适的液体是低钠液体[66.5~77mEq/L(mmol/L)]。补充血钾也是必要的,但是给予速度不能超过0.5mEq(mmol/L)/(kg·h),静脉注射。
控制ARF的持续呕吐,盐酸西咪替丁(5~10mg/kg,静脉注射或肌肉注射或口服,每天3次)和雷尼替丁(2mg/kg,口服,每天2次)都是有效的止吐药。胃复安0.2~0.4mg/kg,口服或皮下注射,每天3次,能控制异常的蠕动和促进正常的胃肠排空。当呕吐严重并且持续不断,氯丙嗪3.3mg/kg,口服,每天1~4次,是强效中枢作用性止吐药。过高剂量的氯丙嗪会引起低血压,所以应使用最低有效剂量的药物。氯丙嗪还会起到镇静作用,这会掩盖患病动物的一些临床表现。
患病动物在出现严重氮血症、危及生命的高血钾、严重酸血症、充血性心衰竭而导致水过多和药物中毒时建议使用透析治疗。透析花费昂贵、费时且有很高的危险性,因此这种疗法仅用于患病动物的肾脏功能有望恢复和准备进行肾脏移植手术前的治疗。腹膜透析的疗效在兽医临床上很差,生存率不到24%。血液透析,仅在一些中心医院建议使用,可提供生存机会。透析结果反应严重ARF治疗的复杂性、肾脏损害的程度和患病动物极差的生存几率。
特异性治疗 特异性治疗ARF的病因,如乙二醇中毒和细螺旋体病等。致命剂量的乙二醇对犬为4.2~6.6mg/kg,对猫为1.5mg/kg。中毒的患病动物首先出现呕吐和腹泻使血容量过低、代谢性酸中毒会发生广泛的负离子缺额、过度紧张和神经症状。从初期到接近恢复期患病动物出现少尿性ARF。使用乙醇脱氢抑制剂乙醇或者4-甲基吡唑(仅对犬)在摄取乙二醇后8小时内给予,以进行有效的特异性治疗(表5.4)。使用碳酸氢钠治疗以纠正代谢性酸中毒也可以提高生存几率。乙二醇中毒后肾功能恢复预后不良。
细螺旋体病最好使用青霉素和链霉素治疗。青霉素能够抑制螺旋体的生长,但是通常不会消灭病原体。链霉素能够杀死尿路中的病原体但是有潜在的肾毒性。在细螺旋体病的急性期,患病动物最好用青霉素G(50 000U/kg,肌肉注射,每天2次,只用10天)。一旦肾功能恢复正常,这时可以使用链霉素10mg,肌注或皮下注射,每天4次,连用7天来消除病原体。
表5.4 犬、猫乙二醇中毒的治疗

注:*使用时按照如下公式:碱缺失=0.5×体重(kg)×(20-患病动物的HCO3)。
(重新检查血清碳酸氢钠并且隔6小时再次给药)