概述 猫下泌尿道疾病(FLUTD)是常见的疾病,也是兽医非常关心的疾病之一。猫的最常见的下泌尿道疾病是尿道阻塞和由此引起的危及生命的肾后性氮质血症。这种疾病几乎全部发生于雄性犬,雌性犬很少发生。另外,许多猫会出现下泌尿道炎性症状而不是尿道阻塞。非阻塞性形式的疾病,雄性和雌性动物的发病几率基本相等,去势动物危险性最多。
病因学 尿道阻塞多数情况是由蛋白质样物质和矿物性沉积物、单个的结晶体或者结石嵌塞尿道所致。然而,很少发生单纯由蛋白质物质而没有晶体引起的尿道阻塞相区别。小的尿结石也可以引起猫的尿道阻塞。阻塞物中多数晶体和尿结石是由鸟粪石组成,也可能涉及其他类型的矿物质成分。
不适当姿势排尿(喷洒)行为的失调应与FLUTD区别开。已知引起非阻塞性的FLUTD,包括尿结石、UTI和肿瘤。尿结石比UTI常见,UTI的病例不到10%(表5.21)。然而,对于持久的会阴部的尿道切开术和年龄超过12岁的猫更容易发生UTI。膀胱肿瘤很少见,并且多发生于7岁以上的老猫。猫的大多数的膀胱肿瘤是恶性的(80%)。FLUTD的其他较少见的病因有真菌感染、寄生虫侵害、解剖结构异常(如尿道狭窄)、神经性疾病和异物。所有已知的病因排除后,有些患病动物仍找不到FLUTD病因。突发性FLUTD可能包括病毒感染、食物过敏、免疫介导作用、黏膜黏多糖的保护性缺陷以及应激反应。
病理生理学
尿道阻塞 来源于尿道黏液分泌腺体的似蛋白性黏膜性的物质,形成尿道栓塞可能是引起FLUTD的原因,被认为是尿道黏液分泌腺,但是过多异常黏液产生作用还不清楚。尿液中晶体形成与黏液混合产生大的团块,这就可能引起尿道阻塞(图5.41)。多数情况下,晶体有鸟粪石的成分,这可能与猫的结石以草酸钙为主的情况不固定有关,这种差异性的原因还不清楚。
长期的尿道阻塞会导致肾后性氮质血症、脱水、血钾过多和代谢性酸中毒。在完全阻塞的2天内,由于血钾过高而发生心脏毒性作用,且危及生命。典型的ECG表现包括心搏徐缓、缺少P波、宽正弦波QRS复合波、“帐篷”形的T波(图5.42)。如果不予以治疗,心脏将会停止跳动。
非阻塞性炎症 尿结石、下泌尿道感染和膀胱肿瘤容易引起膀胱炎症,大多数患病动物会出现突发性的FLUTD,其病理生理学机制仍然不清。值得注意的是在人的间质性膀胱炎、其他的突发性的疾病与猫的突发性膀胱炎类似。在这种情况下,膀胱的疼痛感觉和炎性发展几种机制与人的间质性膀胱炎和猫的突发性FLUTD有内在的联系,并且都已经阐述过。膀胱壁的渗透性增加 ;患病动物在24小时内尿液样品中的黏多糖分泌减少(一种保护尿道上皮免受破坏的屏障物质);从膀胱壁C纤维分泌的P物质(一种炎性介导物质,能够加强血管的渗透性,引起肥大细胞的脱颗粒)释放过多。尽管这种试验提供了一种新的可能的治疗方法,并且解释了为什么以前根据经验治疗而取得显著疗效的原因,在这一点上的进步已经降低了突发性FLUTD患病动物的数量。
表5.21 非阻塞性FLUTD的病因(%)

注:*俄亥俄大学(样本109例);**明尼苏达大学(样本111例)。

图5.41 猫的尿道阻塞时,尿道栓塞在显微镜下的黏液样和晶体样的形状。
临床症状
阻塞 尿道阻塞一般发生在雄性猫,高发年龄在2~5岁。发生阻塞的患猫紧张,不能排尿,在企图排尿时会喊叫。不停地舔舐生殖器区域,经常躲藏在隐蔽的环境中。阻塞24~36小时后,猫会变得非常沉郁,48小时后会发生昏迷和死亡。阻塞发生后检查患猫,患猫易怒,强烈的反抗检查。阻塞时间延长后,患猫逐渐变得精神沉郁,腹部检查可以感觉到增大的结实的膀胱,外生殖器充血,处理阴茎和包皮会引起疼痛。黏液晶体样的物质突出于阴茎尿道口处,很容易观察到(图5.43)。
非阻塞性 非阻塞性FLUTD的表现多样,但通常包括痛性尿淋漓、频尿、血尿和排尿困难。患猫在排尿期间会喊叫,并且会在不合适的位置排尿。在发病期间,临床症状往往是逐渐明显到自发的减轻。猫的非阻塞性FLUTD的膀胱通常体积小,膀胱壁厚,触摸膀胱会引起不适,阴茎和外生殖器区域出现充血。
鉴别诊断 应与膀胱膨胀(阻塞):①神经性疾病:骨盆创伤、脊柱创伤、家族性自主神经异常、膀胱弛缓、大脑皮层对排尿的抑制;②尿道狭窄、硬化外部的团块。不合适的排尿(非阻塞性):UTI、肿瘤、行为性疾病,解剖结构异常相鉴别。
诊断
阻塞性 阻塞性FLUTD可通过触诊膀胱、膀胱变大变硬确定。在缓解了尿道阻塞后进行尿道插管或者尿道造口前,要膀胱穿刺收集尿液进行尿液分析和尿液培养。血清肌酐和BUN(尿素氮)水平可以评价氮质血症的严重程度。对虚弱的患猫进行血清磷水平和心电图检查以确定高血钾引起的心脏中毒程度。
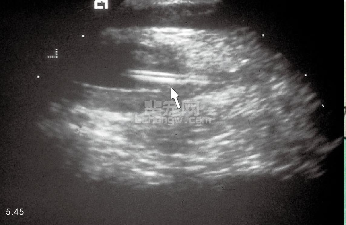
非阻塞性 通过尿液分析和尿液培养以及敏感性试验(对于可疑的很少发生细菌感染的病例)可以确定非阻塞性FLUTD。在尿液沉积物中,很大比例的猫会出现血尿,但是脓尿很少发生(图5.44)。没有出现血尿并不能排除是FLUTD,因为在尿液沉积物检查,正常的情况下用膀胱镜检查时也会见到损伤。尿液沉积物中晶体矿物质类型应引起注意。腹部的X线片检查显示在膀胱内有不透射线的尿结石,如草酸钙,但是双重膀胱造影或者超声检查,有时对检查一些透射线的结石和异物是有必要的(图5.45)。膀胱镜检查可以显示黏膜下水肿和点状的出血,称为团伞状出血,经常与突发性的FLUTD有关(图5.46)。
治疗

图5.42 由于尿道阻塞引起的猫的肾后性氮质血症、高血钾的ECG:治疗前和治疗后。

图5.43 猫尿道阻塞时的尿道栓塞。

图5.44 猫下泌尿道疾病时血尿和晶体尿的尿沉积物。

图5.45 超声检查猫的下泌尿道疾病,有一断裂的导尿管在膀胱内(箭头所指)。诊断前导尿管在消除阻塞后用了将近2年。

图5.46 猫突发性的下泌尿道疾病,膀胱镜检查黏膜下团伞状出血。80cm水压时膀胱膨胀才会看到这种损伤,这种结果具有非特异性,但正常猫膀胱内没有。
阻塞性 必须非常小心轻缓地移动患猫,采取静脉输液,使用在0.45%氯化钠溶液里配制2%葡萄糖,在4小时内输完。严重高钾血症时应使用碳酸氢钠、胰岛素/葡萄糖或者葡萄糖酸钙进行治疗。代谢性酸中毒可以使用碳酸氢钠予以纠正。只要心脏稳定,尿道阻塞就可以解决。在进行导尿管插管时应该使动物深度的镇静、止痛或者轻微的麻醉,以使尿道损伤减轻到最低的程度。找出阴茎,生理盐水冲洗末端开放的导尿管,慢慢插入尿道。如果不能进行导尿管插管,可以利用膀胱穿刺的方法抽取20~30mL尿液以对膀胱进行减压。在解除阻塞之前,可以在耻骨前进行膀胱造口术,植入导管,使身体代谢稳定。偶尔也需要紧急的会阴部尿道造口术,然而,这种情况仅仅是一种应急的救助措施,因为它很容易复发UTI。即使阻塞物质被清除后,尿道肌肉痉挛也会使尿道闭塞,尤其是在尿道受到过度的创伤后。可以留置导尿管24~48小时,药物可以控制尿道痉挛(苯氧苯扎明5mg,口服,每天1次,连用3~5天;安定(地西泮)2.5mg,口服,每天2次,3~5天;泼尼松2.5mg,口服,每天2次,3~5天)。同时,应该使用广谱抗生素类药物,尤其是在植入导管时。植入的导管在移除时需要更换抗生素,因为尿道倾向于有耐药菌生长。
阻塞后利尿3天,治疗前患猫会脱水,血钾水平降低,静脉输液可维持水和正常血钾。静脉输钾不能超过0.5mEq(mmol)/(kg·h)。一旦患病动物能够吃喝,应该在12~24小时内逐步降低静脉输液的速度,如果猫发生脱水,要密切注意体重的变化。正常水合能够维持,可不使用静脉输液来补充。
尽管晶体和结石与猫的尿道阻塞有关,其成分几乎都是鸟粪石,必须进行结石分析以便采取合适的饮食和治疗措施,并且要防止复发。
非阻塞性 尿结石和UTI可以根据上面章节的原理进行处理。草酸钙尿结石必须利用外科手术的方法清除,鸟粪石结石可以进行溶解,对患有UTI的猫要做尿液培养和敏感性试验,以便选择合适的抗生素进行治疗。关于猫的下泌尿道肿瘤的治疗措施知之甚少。对于恶性肿瘤,外科切除和随后的化疗似乎符合常规。
广泛的多种经验疗法对于突发性FLUTD的治疗非常成功。症状逐渐明显到逐渐减弱的临床症状,使得对治疗效果的评价显得非常困难。然而,几乎没有做过临床试验的对照。罐装食品似乎有预防作用。这些食品可以降低尿液中的活性产物形成矿物质沉淀,所以任何可能会引起晶体尿或者炎症的食物都不被推荐使用。然而,晶体尿样本(没有结石)和突发FLUTD的关系还不清楚。许多经验性的和对症的治疗可以控制临床症状(表5.22)。表中所列的方法反映了临床兽医在治疗突发性FLUTD的挫败,他们对潜在的病因学和发病机制知道的很少,因此只能进行有限治疗。
“应激”总是被认为是突发性FLUTD的重要原因之一,很难区别与应激引起的行为性干扰,即猫的领土之争,显示的撒尿行为和因为应激引起的尿道膀胱器官性疾病相区别。所以,明智的选择是询问动物主人有无新的具有威胁性的应激者进入猫生活的环境,如新的宠物、新的小孩的加入、重新布置环境等。
饲喂罐装食品,避免饲喂干燥的日粮似乎有助于降低突发性FLUTD的复发,其机制还不清楚。三环抗抑郁药(阿米曲替林5~10mg,口服,每天2次),在无对照的临床研究中,高复发的突发性FLUTD患猫有长期抑制其症状出现的作用。消除临床症状的原因可能是抑制了疼痛感觉(痛觉丧失)和膀胱壁局部炎性物质的释放。膀胱尿液压力在80cm水柱时可缓解妇女间质性膀胱炎证候,同样可用于猫的突发性FLUTD,但是没有对照实验(图5.47)。
膀胱内使用DMSO,口服黏多糖替代治疗,低变应原性食物,抗副交感神经药物,抗生素和皮质类固醇药物等的使用疗效较低。对妇女间质性膀胱炎的处理,应在全身麻醉状态下,向膀胱内注入50%的DMSO溶液10~15分钟,每周2次,连用2~3周,建议用于治疗猫的突发性FLUTD。没有对照试验支持猫使用DMSO治疗的有效性。黏多糖的排泄过程对于治疗女性间质性膀胱炎有特殊的用途,其从尿液中分泌,可补充内源性黏多糖层的不足。它们的使用有争议,但是有人介绍聚硫戊聚糖10mg,口服,每天2次,可以减轻猫突发性FLUTD的临床症状。低变应原性食物可避免未知的过敏原,防止引起膀胱炎症,只是建议使用,并无准确评价。抗副交感神经药物,如丙胺太林7.5mg,口服,每天2次,建议用于控制患有突发性FLUTD猫的频尿证候,但这种疗法作用尚不清楚。根据经验可常年给予抗生素,以控制患有突发性FLUTD猫的UTI,即使尿液培养没有出现病原微生物最好也要给予抗生素。皮质类固醇类药物的使用可以控制炎症。抗生素和皮质类固醇类药物在对突发性FLUTD的病程和临床症状的作用还没有进行对照试验研究。
表5.22 突发性FLUTD的经验治疗、假定病因或症状表现


图5.47 膀胱后部注水膨胀图:对膀胱进行插管,外部连接的水柱高度为80cm,持续10分钟。